Биоревитализация — новое направление в медицине, задачей которого является восстановление и омоложение различных органов и тканей организма. Сегодня в разных странах, например, в Израиле, Германии и США, созданы специальные клиники ревитализации, а в России к тому же издается научно-медицинский журнал «Ревитализация».
Наиболее широкое распространение биоревитализация получила в косметологии для омоложения кожи. Однако, старение в той или иной степени затрагивает все органы и ткани организма.
Особенно распространены сегодня проблемы старения связанные с суставами и позвоночником (дегенеративно-дистрофические изменения), который, собственно, весь состоит из суставов. Для амортизации позвонков служат межпозвонковые диски ,которые также как и суставные хрящи состоят из хрящевой ткани.
Немного о физиологии хрящевой ткани
Хрящ состоит из специализированных клеток – хондроцитов, а это самые главные клетки хряща, и окружающей их ткани – матрикса. Матрикс имеет сложное строение. Все его компоненты синтезируются хондроцитами и, по сути, состояние хряща зависит прежде всего от активности хондроцитов. Основную часть матрикса составляет белок – коллаген, который образует в хряще «каркасную сетку», главная задача которой связывание и удержание воды. Это обеспечивает прочность и эластичность хряща. В результате снижения активности хондроцитов и постоянной микротравматизации наступают изменения хрящей при остеохондрозе или артрозе.
При потере упругости межпозвонковых дисков, под действием силы тяжести, вышележащие позвонки сдавливают диск, и он выпирает. Таким образом образуется грыжа диска. Выпирающая часть диска сдавливает межпозвонковые нервы, спинной мозг вызывая хронические боли в спине и конечностях, нарушение функции внутренних органов. Если грыжа большая или произошел разрыв фиброзного кольца, секвестрация грыжи боли усиливаются и иногда развивается даже паралич конечностей, нарушение функции тазовых органов. Тоже самое наблюдается и с суставами- поверхность которых теряет гладкость, а движения затрудняются и вызывают боль.
Коллагеновый хрящ обновляется всего лишь на 50% за 10 лет. Поэтому, любое повреждение хрящевой ткани практически не излечимо, если только не принять специальных мер направленных на увеличение активности хондроцитов, которые сформируют новый матрикс. При адекватном длительном лечении хрящ обладает способностью к полному или по крайней мере частичному восстановлению – ревитализации.
К сожалению медикаментозное восстановление хряща (хондропротекторы, пептиды и другие лекарства, которые больные принимают годами) недостаточно эффективно из-за того, что хрящевая ткань практически лишена кровоснабжения и эти препараты с кровотоком почти не доходят до цели. Никаких программных методик по восстановлению хрящевой ткани в академической медицине пока не разработано. Оперативное лечение, безусловно, в какой-то мере решают проблемы, но тяжесть операции, инородная ткань, внедренная в организм, неизбежно провоцирует реакции отторжения, влияет на иммунную систему, создает очаг постоянного раздражения в коре головного мозга и человек часто становится инвалидом обреченным жить с постоянной болью, тугоподвижностью суставов и позвоночника.
Метод УБР
При использовании Ультразвуковой Биоревитализации (УБР) хрящевой ткани открываются внушительные перспективы.
Ультразвук – это механическое колебание упругой среды, в том числе и тела человека, с участками сжатия и разрежения частотой колебаний от 20 кГц до 1000 мГц. Ультразвук вызывает множество сложных биофизических изменений в организме, одним из которых являются вибрационные резонансные явления.
Человеческий организм способен реагировать и отвечать на отдельные ультразвуковые частоты строго определенными реакциями, причем амплитуда воздействия сигнала может быть ничтожно малой (лежать ниже сенсорного порога).
Идея резонансной биостимуляции получила подтверждение в работах А.Я.Критмера о вибрационных воздействиях на организм. Вибровоздействия в определенном диапазоне оказывают лечебное, восстанавливающее действие. Биологический резонанс представляет собой резкое нарастание амплитуды колебаний с частотой постепенно приближающейся к той, которую имеет сама система. Наиболее восприимчивы те частоты лечебного воздействия которые существуют в самом здоровом организме. Частота и интенсивность акустических колебаний подбирается таким образом, что организм человека воспринимает их как собственные и подстраивается под норму, восстанавливая генетическую память биологических ритмов здорового организма.
УБР хрящевой ткани основана на воздействии ультразвуковых импульсов модулированных низкочастотной составляющей, подаваемых в определенной последовательности, разработанной на основе специальных математических программ. Это позволяет проводить ультразвук на глубину до 10 см и воздействовать на периостальные точки акупунктуры расположенные в костно-хрящевой ткани. Эти точки обладают пьезоэлектретными свойствами и в результате механической параметрической раскачки входят в кинетический резонанс, генерируя заданные электромагнитные поля.
В результате воздействия этих полей происходит нормализация конфигурации цепных молекул хондроцитов. Тормозятся дистрофические и активизируются разнообразные механизмы восстановления нормальной структуры хряща. Усиливается образование преколлагеновых и коллагеновых волокон, восстанавливается проницаемость гистогематических барьеров суставов. Нормализуется обмен кислых гликозамингликанов тканей пораженных суставов.
Можно ли избежать операции или замены сустава при помощи УБР?
Наш многолетний опыт лечения больных методом УБР показывает, что - это эффективный, безболезненный и безопасный метод восстановления хрящевой ткани, который в целом ряде случаев, позволяет восстанавливать функцию суставов и избежать тяжелого хирургического вмешательства.
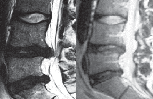
МРТ пациентов прошедших в нашей клинике несколько курсов УБР
Иллюстрация 1
На левом снимке поясничный отдел позвоночника после операции в сегментах LIII–LIV и LV–SI. Рецидив грыжи межпозвонкового диска в сегменте LIV–LV.
На правом снимке состояние поясничного отдела позвоночника после 6 курсов УБР.

Иллюстрация 2
На левом снимке поясничного отдела позвоночника: грыжа межпозвонкового диска в сегменте LIV–LV, спондилёз, эпидурит, арахноидит. Грыжа межпозвонкового диска в сегменте LV–SI.
На правом снимке состояние поясничного отдела позвоночника после 8 курсов УБР.

Как попасть на процедуру. Цена УБР в Петербурге
Процедура безболезненна и не опасна, почти не имеет ограничений. Её проводит опытная медсестра, а врач-невролог обязательно перед началом цикла подробно проконсультирует и назначит нужные дополнительные препараты и упражнения. Стоимость одной процедуры - 1800 рублей.
Чтобы записаться на прием и на цикл биоревитализации, в том числе повторной, нужно лишь позвонить нашим приветливым и квалифицированным администраторам по телефону диагностического центра Стандарт МРТ на Ладожской +7 812 600-13-51. Мы с удовольствием разъясним нюансы, которые позволят принять взвешенное решение именно в вашем случае, расскажем как подготовиться к процедуре, запишем на удобное время.
Также можно задавать вопросы через форму вопросов-ответов и онлайн-консультант в правом нижнем углу сайта.
Напоминаем, что Центр расположен в пяти минутах пешком от станции метро "Ладожская", но есть и удобная бесплатная парковка рядом. Подробности по ссылке.








